病的近視部門 病的近視部門

病的近視部門

近視を引き起こす疾患の遺伝子検査を開始しました(自由診療)

近年、強度近視の患者さんの約20%に、遺伝子検査の結果として別の病気に関連する変異が見つかることが報告されています。強度近視を引き起こしている疾患の具体的な遺伝的原因を特定できれば、個々の患者さんに最適な治療を提供することが可能になると考えられます。
フィンガルリンク株式会社の遺伝性網膜疾患検査は、一度に330個の眼の病気を引き起こす遺伝子を調べることができ、強度近視の原因となっている眼の病気を見つけるために役立つ有用な遺伝学的検査です。この度、遺伝子診療科と協力して、この検査を実施することができるようになりました。遺伝子診療科では遺伝カウンセリングにより適切な情報提供を受けた後に検査の実施を決めることができます。
ご興味がある患者さんは、担当医にご相談ください。

<ポスター拡大>
特定臨床研究 レッドライト治療法被験者募集に関わるお知らせ

最新の近視進行予防治療として注目されているレッドライトを用いた治療の検討が、
18歳以上(成人)の強度近視の患者さんを対象に開始されます。
詳細につきましてはこちらの募集ポスターをご覧ください。

特定臨床研究:レッドライト治療法における被験者募集を締め切りました。皆様のご協力ありがとうございました。
<ポスター拡大>

強度近視

成人の眼球は直径約24 mmの球形をしています。何らかの原因により、眼球の前後方向の長さ(眼軸長、といいます)が、異常に延長した病態を強度近視といいます(図1)。大体27 mm以上、長い人では30 mmを超える方も沢山おられます。近視の度数でいうと、8ジオプトリーを超える近視を強度近視と言います。これは、目安として、目を細めたりしない状態で遠くから指を目の前に近づけてくると、眼前11 cmくらいに来ないとはっきり見えない状態です。

強度近視

原因については遺伝的要素が多いとされていますが、最近頻度が増加していることから近業などの環境要因もあると考えられます。近視の発生頻度には人種差があり特にアジア人に多いことが知られています。日本では厚労省研究班平成17年度調査報告書では、強度近視は緑内障、糖尿病網膜症、網膜色素変性、黄斑変性についで第5番目の視覚障害の原因であります。特に、視覚障害1級(失明)の原因としては第4番目です(表1)。強度近視による視覚障害は働き盛りの年齢に起こることが多く、社会経済に与える影響は深刻です。

表1:視覚障害1級(失明)の原因疾患
平成17年度厚労省網膜脈絡視神経
萎縮症調査研究班報告書
視覚障害1級(失明)の原因疾患<br>平成17年度厚労省網膜脈絡視神経萎縮症調査研究班報告書

強度近視の眼の合併症について

強度近視では眼軸長が長くなることにより、特に視機能に重要な視神経や黄斑部(おうはんぶ、図2)網膜などの部位が機械的に伸展されるとともに変形し、様々な強度近視特有の眼底病変を起こしてきます。

正常の眼底写真 【図2. 正常の眼底写真(矢印;黄斑部)】

A.黄斑部出血

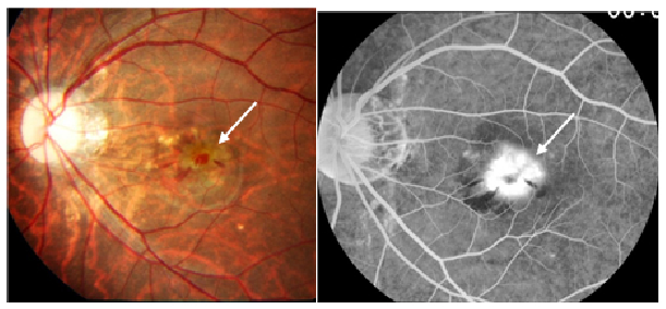
強度近視の患者さんの約1割に、黄斑部(おうはんぶ)という網膜の中心部分に出血が生じます。強度近視の患者さんでは網膜と脈絡膜を隔てるバリアのような働きをしているブルッフ膜という膜に亀裂が入ることがあり、この亀裂を通って脈絡膜から新生血管(しんせいけっかん)という病的な血管が網膜に入り込んで増殖してしまう病態です(図3)。

強度近視の黄斑部出血 【図3. 強度近視の黄斑部出血
(矢印は新生血管を示す)
左;眼底写真、右;蛍光眼底造影写真】

突然の視力低下や変視症(ものが歪んでみえる)で発症することが多く、早期診断、早期治療が重要です。症状は、加齢黄斑変性という病気とよく似ていますが、別の疾患です。本学では、血管内皮増殖因子(VEGF)を阻害する抗体を眼内に注入する治療または特殊なレーザーを使用する光線力学療法を世界に先駆けて施行してきました。2013年にVEGFの抗体であるラニビズマブ(商品名ルセンティス)が強度近視による黄斑部出血に対し保険適応になり、本症に対する治療として大いに期待されています(図4)。当科では、国内外で最多の臨床経験を生かして、的確に治療適応を判断し、患者さん一人一人にもっとも良い治療を提供しています。

抗VEGF療法により治癒した新生血管を伴う黄斑部出血の症例 【図4. 抗VEGF療法により治癒した新生血管を
伴う黄斑部出血の症例】
A,B; 治療前。黄斑部に出血を伴う新生血管がみられる。
C,D; 治療2年後。新生血管は完全に消失した。視力は0.6から1.2に改善。

B.近視性牽引黄斑症

強度近視では眼球が前後方向に伸びる際に、伸びきれなくなった網膜がはがれてきてしまうことがあり、網膜剥離またはその前段階である網膜分離を起こします。この病態も、強度近視の方の約1割にみられます。初期には自覚症状に乏しいこともありますが、放置すると網膜剥離や黄斑円孔といった、より重篤な合併症に進行する危険があります。本症の診断には網膜の断層像を観察することができる光干渉断層計(OCT)という検査が非常に有用です(図5)。特に本症の発症早期には自覚症状に乏しく見過ごされやすいことも多いので、強度近視の患者さんは自覚症状がなくても定期的にOCT検査を行っておくことをお勧めしています。

近視性牽引黄斑症

近視性牽引黄斑症に対する硝子体手術は難易度が高く、熟練を要します。本学では、術中、術後の合併症を予防する新しい手術手技「中心窩周囲内境界膜剥離術; FSIP」を世界に先駆けて考案し、施行してきました(図6、図7)。これにより、多数の症例に術中、術後の重篤な合併症を起こさずに早期から良好な視力経過を得ることに成功しており、その成果はAmerican Journal of Ophthalmologyに掲載され、マスコミ報道もされました(テレビ東京「話題の医学」2012.8.12放送)。本手術につきましても、国内外で最多の臨床経験を有しており、安心して手術を受けていただくことができます。

中心窩周囲内境界膜剥離術のシェーマ 【図6. 中心窩周囲内境界膜剥離術のシェーマ】
黄斑部から離れたところから膜を剥離し、
中心に近づいたら持ち替えて慎重に中心を
剥離しないように気を付けて手術を行う。
細心の注意と術者の熟練を要する術式。
中心窩周囲内境界膜剥離術の術中写真 【図7. 中心窩周囲内境界膜剥離術の術中写真】
中心の周囲にのみ、
残した内境界膜が緑色にみえている

C.近視性視神経症

強度近視の方で意外に見過ごされやすいのが視神経障害です。強度近視は緑内障の危険因子でもあり、また眼球の異常な延長により、視神経やその神経線維が機械的に障害されやすく、視野障害の原因となります(図8)。強度近視では上記のような黄斑部病変を合併するために視神経症が見過ごされやすく、気がついたときには末期の状態であったということも稀ではありません。強度近視の患者さんはやはり定期的に視野検査を受けることが望ましいでしょう。

強度近視外来による視力障害を起こさないために 【強度近視外来による視力障害を
起こさないために】

強度近視による視力障害を
起こさないために

強度近視の原因は遺伝的な素因が大きいですが、いわゆる環境要因も大きいと考えられています。特に、近視がもっとも進行する小児期に正しく管理を行うことにより、必要以上の近視の進行を防ぐことができ、大人になったあとの合併症による失明を防ぐことができます。当科では、小児の近視の患者さんに対する近視進行抑制眼鏡の処方、薬物治療、生活指導などトータルで支援し取り組んでいます。詳細は強度近視外来の主治医にご相談ください。